Лечение зубов у детей «во сне» в Вологде - диагностика в подарок.
записаться

Лечение зубов детям в наркозе на специальных условиях

  • Главная
  • Акции
  • Лечение зубов детям в наркозе на специальных условиях

Лечение зубов детям в наркозе на специальных условиях

Под наркозом и седацией, с анестезиологом и в полной безопасности. Программа лечения в 1 визит.
Получить консультацию
Подходит малышам от 1 года и детям с особенностями развития
Лечение зубов детям в наркозе на специальных условиях

Почему детям тяжело лечить зубы обычным способом?

Ребёнок в кресле кричит и вырывается — мы сдались после 5 минут
Страх, слёзы, крики — знакомо? Для многих детей лечение у стоматолога превращается в стресс и борьбу.
  • Боится врачей
  • Плачет и не даётся
  • Малыш до 3 лет
  • Много больных зубов
  • Плохой опыт
  • Особенные дети
В таких случаях обычное лечение — просто невозможно.
Почему детям тяжело лечить зубы обычным способом?

Решение — седация и наркоз

Было — обычное лечение
  • Плач и истерики в кресле
  • Ребёнок боится врача
  • Невозможно уговорить
  • Нужно 5–7 визитов
  • Отказ от лечения в середине
Это стресс для ребёнка и родителей
Стало — лечение во сне
  • Ребёнок засыпает и просыпается с вылеченными зубками
  • Всё проходит за 1 визит
  • Без боли и страха
  • Под контролем опытного анестезиолога
  • Подходит даже малышам от года и детям с особенностями развития
Это — комфорт, безопасность и результат

Абсолютная безопасность — как в операционной

Мы подходим к детскому лечению так же серьёзно, как в настоящей операционной — ничего лишнего, только проверенные решения:

Абсолютная безопасность — как в операционной
«Работаю с детьми больше 9 лет. Безопасность — всегда на первом месте!»
Марюков Илья Леонидович, врач анестезиолог-реаниматолог
Сертифицированные препараты
Только официально одобренные и безопасные для детей
Мониторинг ЭКГ, дыхания и пульса
Контроль за состоянием ребёнка — на каждом этапе
Команда: детский стоматолог, детский хирург, врач анестезиолог-реаниматолог
Каждый специалист — с опытом работы с детьми
Все лицензии и разрешения
Официально. Законно. Спокойно.
Лечение зубов детям в наркозе на специальных условиях
Лечение зубов детям в наркозе на специальных условиях
Вы всегда можете быть рядом, пока ваш ребенок в надежных руках

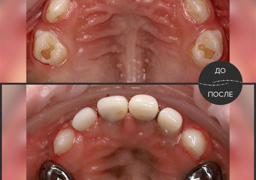
Реальные случаи. Настоящие результаты

«Поставили коронки — беленькие на передние зубки и даже одну блестящую металлическую!»
Катюша, пациентка
Возраст ребенка: 5 лет
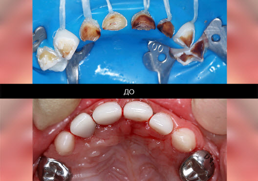
«Наше лечение заняло целых 2,5 часа - такое без наркоза ребенку не выдержать»

Под наркозом провели:

  • лечение кариеса и герметизацию фиссур;
  • установили 2 обычные металлические и 2 белые диоксид-цирконивые коронки.
Мама ребенка
Возраст ребенка: 2,5 года
«Ребенок просто спал в кресле, а проснулся уже с вылеченными зубами и установленными коронками»

Под наркозом провели:

  • гигиену полости рта;
  • эндодонтическое лечение 4х верхних резцов и установку на них диоксид-циркониевых коронок;
  • установку металлических коронок на первые моляры;
  • восстановление клыков композитом.
Мама ребенка
Возраст ребенка: 2,5 года
«В зубах дочери постоянно застревала пища, ей было некомфортно жевать и на передних резцах были заметны темные кариозные пятна»

Под наркозом провели:

  • лечение кариеса на 10 зубах;
  • установка 2 диоксид циркониевых и 8 металлических коронок.
Родители пациентки
Возраст ребенка: 3 года
«Ждать пока зубы «съест» кариес мы не стали и решили все сделать в наркозе»

Под наркозом провели:

  • гигиену полости рта;
  • лечение кариеса;
  • восстановление зубов диоксид-циркониевыми и обычными металлическими коронками.
Мама пациента
Возраст ребенка: 2 года
«Еще не все зубки прорезались, а уже 10 кариесов на зубках = решили, что лечить нужно срочно»

Под наркозом провели:

  • лечение кариеса и герметизация фиссур;
  • композитная реставрация зубов;
  • установка 4 металлических и 4 диоксид циркониевых коронок.
Мама пациента
Возраст ребенка: 2,5 года
«У нас не было выбора - к 3-м годам у сына обнаружили 13 кариесов. Хорошо, что есть «Да Винчи», которой мы доверяем»

Под наркозом провели:

  • профгигиену лечение кариеса 13 зубов;
  • композитную реставрацию;
  • эндодонтическое лечение каналов 2-х зубов и их восстановление диоксид циркониевыми коронками.
Мама пациента
Возраст ребенка: 3 года

Как проходит лечение во сне

Пошагово объясняем, как всё устроено — просто, понятно и без лишнего волнения.

  1. Консультация Онлайн или очно — обсуждаем ситуацию, отвечаем на все вопросы.
  2. Подготовка и обследование Обязательные анализы и осмотр, чтобы всё прошло безопасно.
  3. Сон (седация или наркоз) Ребёнок засыпает легко и спокойно. В это время мы лечим зубки. Вы рядом.
  4. Лечение зубов Вся команда работает быстро и слаженно. Без стресса для малыша.
  5. Пробуждение и рекомендации Через 30–60 минут ребёнок просыпается, вы получаете все инструкции — и уже через пару часов дома.
Скачать памятку для родителей

Кому вы доверите своего ребенка

4.9
Силинская Алёна Юрьевна
Опыт работы: 7 лет
«Я не тороплюсь. Лучше потратить 30 минут на знакомство, чем получить страх на годы.»
  • Более 7 лет работы только с детьми, ведущий детский стоматолог, заведующая детским отделение «Да Винчи» Кидс.
  • Прошла дополнительное обучение по детской психологии.
  • Владеет техниками адаптации детей с РАС и ЗПР.
  • Родители благодарны за деликатный подход.
4.9
Клюквина Ксения Викторовна
Опыт работы: 14 лет
Главный врач, стоматолог-терапевт, эндодонтист, хирург
Записаться
«Моя миссия — это спасение самых безнадежных зубов у пациентов в любом возрасте!»
  • Главный врач клиники «Да Винчи» в Вологде.
  • Владеет 3-мя стоматологическими специальностями — стоматолог-терапевт, эндодонтист и хирург.
  • Проводит реабилитация пациентов после травм зубов различной тяжести.
  • Индивидуальный подход и забота — главные критерии, которыми Ксения Викторовна руководствуется каждый день, встречаясь с пациентом в кабинете.
4.9
Завернина Марина Сергеевна
Опыт работы: 4 года
«Даже если весь прием прошел в игровой зоне и только в конце мы смогли зайти в кабинет — это уже победа и у вас самый храбрый малыш на свете!»
  • Более 4 лет работы с детьми, оказание стоматологической помощи детям с самого рождения.
  • Проводит игровое обучение «Космической гигиене» для юных космонавтов.
  • Владеет техниками адаптации детей с РАС и ЗПР.
  • Будьте уверены — любой прием у Марины Сергеевны пройдет спокойно и без слез.
4.9
Марюков Илья Леонидович
Опыт работы: 8 лет
Анестезиолог-реаниматолог
Записаться
«Моя задача — чтобы юному пациенту во время операции было безопасно, а родители могли довериться и быть уверенными в результате.»

Я всегда говорю родителям: во время лечения ребёнок спокойно спит, ему не больно и не страшно, а я рядом и контролирую каждый вдох, каждый удар сердца.

  • Илья Леонидович сопровождает детский наркозный приём уже более 9 лет, так что родители могут полностью довериться его знаниям, опыту и уже даже — шестому чувству.
  • Вся наша команда заранее готовится к любого рода возможным осложнениям или непредвиденным ситуациям. Так спокойнее и нам, и нашим пациентам!
4.9
Семенова Екатерина Андреевна
Опыт работы: 14 лет
Анестезиолог-реаниматолог
Записаться
«Я всегда стараюсь простыми словами объяснить родителям, что именно будет происходить на каждом этапе наркоза. Когда человек понимает, что с его ребёнком делают и зачем — тревога уходит.»
  • Екатерина Андреевна работает с пациентами различных возрастов уже с 14 лет — так что от её опытного взгляда не ускользнёт ни одна мелочь.
  • Общение с родителями до и после лечения в наркозе для неё — обычная практика, ведь лучше быть уверенным на все 100%, что всё идёт как надо!
4.9
Олькина (Молева) Татьяна Ивановна
Опыт работы: 8 лет
Стоматолог-терапевт, детский стоматолог
Записаться
Татьяна Ивановна — врач, с которого у детей начинается доверие к стоматологам.
Она работает с маленькими пациентами от рождения до 14 лет и умеет находить подход даже к самым тревожным детям и их родителям. Для неё важно, чтобы ребёнок не просто вылечил зуб, а перестал бояться лечения.
Татьяна Ивановна бережно лечит кариесы, пульпиты и периодонтиты молочных и постоянных зубов, уделяя внимание не только качеству лечения, но и эмоциональному комфорту ребёнка. Коллеги называют её «детским психологом в белом халате» — за мягкость, терпение и умение превратить приём в спокойный и добрый опыт.

Часто задаваемые вопросы (FAQ)

Безопасна ли анестезия?

Да. Седация и наркоз являются современными и проверенными методами лечения детей, которые при правильном применении обеспечивают максимальную безопасность. Эти методы позволяют проводить необходимые медицинские процедуры без стресса и боли для ребенка.

    Мы обеспечиваем безопасность пациента на 3х уровнях:
  1. Перед лечением проводим полное обследование пациента, чтобы исключить все противопоказания.
  2. Используем современное оборудование — наркозно-дыхательный аппарат и монитор пациента, которые помогают безопасно оказывать анестезиологическое пособие пациентам любого возраста.
  3. Во время наркоза рядом с пациентом находится врач анестезиолог-реаниматолог и его ассистент. Их главная задача — обеспечить полную безопасность и комфорт пациента и постоянный контроль его жизненных показателей.
    В каком возрасте можно делать анестезию?

    От 1 года и старше! Лечение зубов в наркозе особенно показано маленьким детям до 3 лет, и детям с особенностями нерво-психического развития в любом возрасте.

    Какие преимущества у процедуры лечения зубов под наркозом?
    • Лечение зубов в наркозе полностью решает вопрос качественного стоматологического лечения ребенка, в особенности тревожного, для которого частые дробные посещения клиники для лечения 1 зуба — не вариант.
    • Гарантирует отсутствие стресса и слез. Во время лечения ребенок спит — он совершенно не ощущает боли и не испытывает страха.
    • Позволяет качественно выполнить большой объем лечения у ребенка в любом возрасте за 1 посещение: удаление, лечение кариеса и/или пульпита и их осложнений, протезирование молочных зубов коронками и т. п.
    • Можно качественно вылечить зубы «особенным» детям — с задержкой и нарушением психо-эмоционального развития, для которых в большинстве случаев нет другого варианта оказания стоматологической помощи.
    Сколько длится и как проходит лечение зубов в наркозе?
    • Процедура лечения в наркозе обычно длится несколько часов — мы стараемся выполнять весь необходимый объем лечение за 1 прием, чтобы дополнительно не нагружать организм и психику ребенка.
    • Во время проведения лечения в наркозе в кабинете находятся только врачи! Присутствие одного из родителей желательно только до момента засыпания ребенка. После чего родитель покидает кабинет и ожидает завершения лечения в зоне рецепции. Когда ребенок начнет просыпаться, он будет рядом в ним в специальной палате отдыха.
    Можно ли детям с аутизмом и РАС лечить зубы в наркозе?

    Да, лечение зубов в наркозе — это идеальное решение для детей с особыми потребностями, поскольку такие дети не могут адекватно переносить стоматологические процедуры из-за сильного беспокойства, гиперактивности или других поведенческих проблем.

    Специальные условия на консультацию и диагностику до 31 мая!
    • Стоимость первичной консультации – 1000₽ вместо 1500₽
    • Подарок — рентген-диагностика прямо на месте до 31 мая
    16
    дней
    :
    09
    час
    :
    17
    минуты
    :
    35
    секунд
    Получить скидку
    Звоните в клинику в Вологде
    +7 (921) 716-03-06
    {Пн–Пт 9:00 - 20:00} {Сб 9:00 - 18:00}
    {Вс 9:00 - 18:00 Колл-центр}
    Задать вопрос и записаться на приём можно через удобный мессенжер. Пишите нам:
    Позвоните или напишите нам прямо сейчас
    +7 (921) 716-03-06
    {Пн–Пт 9:00 - 20:00} {Сб 9:00 - 18:00}
    {Вс 9:00 - 18:00 Колл-центр}
    Пора вылечить зубки — спокойно и безопасно
    Успейте до конца месяца и получите ретген-диагностику прямо на месте в подарок!

    Да Винчи – клиника, которой доверяют

    14+ лет
    14+ лет
    Средний стаж специалистов нашей клиники
    Работаем с 2015 года
    Работаем с 2015 года
    Более 3000 довольных маленьких пациентов
    Дружелюбная атмосфера
    Дружелюбная атмосфера
    Дети и родители чувствуют себя как дома
    Гибкий график приёма
    Гибкий график приёма
    Подстроимся под ваш удобный день и время
    Нет скрытых платежей
    Нет скрытых платежей
    Озвучиваем стоимость сразу после консультации
    Современная техника
    Современная техника
    Лечим быстро, бережно и комфортно
    Удобная парковка
    Удобная парковка
    Рядом с клиникой
    Записаться на консультацию
    Выберите город
    Выберите клинику
    Назад
    Выберите клинику
    Назад
    Ваша запись подтверждена
    Спасибо за Ваше сообщение. Оно успешно отправлено.