Челюстно-лицевая хирургия и лечение аномалий прикуса в Вологде
записаться

Челюстно-лицевая хирургия и комбинированное лечение сложных аномалий прикуса

  • Главная
  • Услуги
  • Челюстно-лицевая хирургия и комбинированное лечение сложных аномалий прикуса

Челюстно-лицевая хирургия и комбинированное лечение сложных аномалий прикуса

Новый уровень функционального и эстетического восстановления без дополнительных затрат
Получить консультацию
С участием ведущих челюстно-лицевых хирургов Санкт-Петербурга
Челюстно-лицевая хирургия и комбинированное лечение сложных аномалий прикуса

Почему комбинированное лечение прикуса с хирургией - это квест для пациентов в регионах?

«Пациент находит ортодонта и начинает лечение по месту жительства. Но где найти опытного хирурга, который проведет операцию?»
Как самому найти нужно специалиста — в интернете? Или отправляться в Москву или Санкт-Петербург к хирургу, которого вам порекомендовали? Знакомо? Вы не понимаете
  • На каком враче вам нужно остановиться
  • Как скоординировать врачей между собой
  • Как часто вам придется ездить в другой город во время подготовки
  • Когда вы сможете вернуться домой после операции
  • Что делать, если вдруг что-то пойдет не так
Довести самостоятельно сложное лечение до качественного результата практически невозможно.
Почему комбинированное лечение прикуса с хирургией - это квест для пациентов в регионах?

Решение - проводить такие операции в Вологде

Было - дорога, время и деньги
  • Минимум 1-2 визита в другой регион до операции
  • Операция в другом городе
  • Возвращение домой в остром послеоперационном периоде
  • Поездка к хирургу для контрольного осмотра в период реабилитации
Все это дополнительное время, усилия, расходы и физическое неудобство
Стало - консультация и операция там, где вы живете
  • Вас оперируют опытные хирурги, с которыми мы уже завершили не один клинический случай
  • Все консультации, диагностика и операция проходят планово в клинике в Вологде
  • В современной операционной, под контролем опытных анестезиологов
  • Без дополнительных затрат сил, времени и денег
Это - быстрее, удобнее, безопаснее для пациентов

Бескомпромиссный результат без потери комфорта

Мы объединяем возможности современной ортодонтии и хирургии, чтобы решать те клинические ситуации, где одного лечения брекетами уже недостаточно.

Бескомпромиссный результат без потери комфорта
«Здоровье и комфорт пациентов — наша миссия! Поэтому в "Да Винчи" врачи всегда идут им на встречу. И даже в буквальном смысле едут, чтобы оказывать всю необходимую помощь у нас в регионе.»
Шемякин Александр Романович - основатель и ведущий врач-ортодонт сети клиник «Да Винчи»
Командная работа
Вас лечат наши ортодонты и опытные челюстно-лицевые хирурги.
Диагностика и планирование
«Да Винчи» полностью оснащена оборудованием для проведения любых исследований на месте.
Ведем пациента «от и до»
Чёткая этапность лечения и понятная логика процесса.
Удобно врачам и пациентам
Современная операционная с системой подачи наркоза и палата послеоперационного отдыха.
Все лицензии и разрешения
Официально. Законно. Спокойно.
Челюстно-лицевая хирургия и комбинированное лечение сложных аномалий прикуса
Челюстно-лицевая хирургия и комбинированное лечение сложных аномалий прикуса
Заботьтесь о вашем здоровье, а мы позаботимся обо всем остальном!

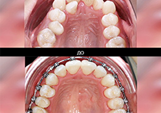
Реальные случаи. Настоящие результаты

«Если бы мне еще раз предложили — я бы еще раз сделала эту операцию!»

Сделали челюстно-лицевую операцию по расширению челюсти и через 10 дней поставили брекеты! Результат:

  • наладилась дикция (даже несмотря на брекеты);
  • теперь у Ксении дышит нос и она спит ночью с закрытым ртом;
  • появилось место для языка — теперь его легко ставить в правильное положение.

 

Лечащие врачи:

  • ЧЛХ-хирург: Горбань В.В.
  • Стоматолог-ортодонт: Нелаев К. Н
Мезиальный прикус с резким сужением верхней челюсти (метод SARPE)

Лечение проводилось в 2 этапа:

  • хирургическое расширение верхней челюсти (SARPE);
  • ортодонтическое лечение (металлические самолигирующие брекеты Damon Q на обе челюсти).

С момента начала лечения прошло 2,5 года.

 

Лечащие врачи:

  • ЧЛХ-хирург: Горбань В.В.
  • Стоматолог-ортодонт: Шемякин А.Р.
Скелетная форма дистального прикуса: зазор между челюстями - 14 мм

Лечение заняло 2,5 года:

  • Ортодонтическая декомпенсация (металлическая самолигирующая брекет-система Damon Q).
  • Двухчелюстная операция.
  • Финальная ортодонтическая коррекция для точной «дошлифовки» прикуса (брекеты Damon Q).

 

Лечащие врачи:

  • ЧЛХ-хирург: Горбань В.В.
  • Стоматолог-ортодонт: Шемякин А.Р.
Скелетный мезиальный прикуса с узкой верхней челюстью и дефицитом средней зоны лица

Лечение проводилось в 2 этапа:

  • Хирургическое расширение верхней челюсти (SARPE).
  • Ортодонтическое лечение (металлическая самолигирующая брекет-система Damon Q).

 

Лечащие врачи:

  • ЧЛХ-хирург: Горбань В.В.
  • Стоматолог-ортодонт: Шемякин А.Р.
Мезиальный прикус с обратным перекрытием зубов на фоне суженной верхней челюсти

Лечение заняло 2,5 года и проходило в 3 этапа:

  • Ортодонтическая подготовка (Damon Q).
  • Ортогнатическая операция - остеотомия верхней челюсти с пластикой подбородка.
  • Финальная ортодонтическая коррекция.

 

Лечащие врачи:

  • ЧЛХ-хирург: Горбань В.В.
  • Стоматолог-ортодонт: Шемякин А.Р.

Как проходит лечение с челюстно-лицевой хирургией?

Пошагово объясняем, как всё устроено — просто, понятно и без лишнего волнения.

  1. Тщательно исследуем и планируем Проводим консультации профильных специалистов: члх-хирурга и смежных специалистов, к примеру — ортодонта, а также проводим полную расширенную диагностику на месте.
  2. Готовим пациента к операции При комбинированном лечение прикуса проводим ортодонтическую подготовку на брекетах перед операцией в течение 6-18 месяцев.
  3. Оперируем и реабилитируем пациента Хирург проведет челюстно-лицевую операцию на базе нашего отделения клиники «Да Винчи» на Южакова. Оно оснащено современной операционной и палатой послеоперационной реабилитации, в которой Вы проведете 1-3 дня. Мы будем внимательно наблюдать за Вашим состоянием в течение 2-3 месяцев пока будет идти процесс заживления.
  4. Завершаем лечение прикуса детализацией в течение 12-18 месяцев После полного заживления в ортодонтических случаях мы снова установим Вам брекеты, чтобы провести детализацию прикуса. Это нужно для того, чтобы зубы имели правильные физиологичные контакты — в этот период мы позаботимся о мельчайших деталях Вашей улыбки.

Команда, которой вы доверите свое здоровье

4.9
Шемякин Александр Романович
Опыт работы: 13 лет
Создатель и руководитель клиник, ведущий стоматолог-ортодонт
Записаться
«Сложный прикус — это не приговор. Это задача, которую нужно решать системно и командно.»
  • У Александра Романовича 13 лет клинической практики и более 700 завершённых случаев лечения — опыт, позволяющий вести пациентов с выраженными нарушениями прикуса и комбинированными патологиями.
  • Ведущий ортодонт, основатель и руководитель сети клиник — обеспечивает командный подход к лечению, включая взаимодействие с хирургами при ортогнатических операциях.
  • Специализация одновременно в ортодонтии и ортопедии позволяет планировать лечение при сложных аномалиях прикуса с учётом функции, эстетики и долгосрочной стабильности результата.
4.9
Горбань Виталий Валерьевич
Опыт работы: 12 лет
«Ортогнатическая хирургия — это не только про здоровье, но и про гармонию лица и уверенность пациента»
  • За плечами Виталия Валерьевича более 14 лет хирургической практики, специализация — ортогнатические операции, костная пластика и реконструктивные вмешательства.
  • Работает с тяжёлыми скелетными аномалиями прикуса и сложными клиническими случаями, включая комбинированное лечение совместно с ортодонтами.
  • Пациенты отмечают высокий профессионализм, внимательность и ответственное отношение к результату лечения.
4.9
Эмирбеков Эмирбек Абдулкеримович
Опыт работы: 17 лет
Челюстно-лицевой хирург, детский челюстно-лицевой хирург, заведующий отделением челюстно-лицевой хирургии в детской городской больнице №19 им. К.А. Раухфуса, г. Санкт-Петербург
Записаться
«Моя задача — не просто провести операцию, а восстановить здоровье, функцию и качество жизни пациента.»
  • Более 19 лет хирургической практики, заведующий отделением челюстно-лицевой хирургии в детской городской больнице №19 им. К.А. Раухфуса, г. Санкт-Петербург.
  • Эксперт по сложным случаям: травмы лица, врождённые патологии, опухоли, реконструктивные операции у детей и взрослых.
  • Специализируется на хирургическом сопровождении ортодонтического лечения и комплексных междисциплинарных кейсах.
4.9
Нелаев Константин Николаевич
Опыт работы: 9 лет
«Сложный прикус требует не компромиссов, а точного плана лечения и командной работы специалистов.»
  • Более 9 лет практики в ортодонтии позволяют Константину Николаевичу вести пациентов со сложными нарушениями прикуса и скелетными аномалиями.
  • Специализируется на подготовке пациентов к ортогнатической операции и сопровождении лечения на всех этапах — от диагностики до стабилизации результата.
  • Работает в междисциплинарной команде с хирургами и ортопедами, что обеспечивает прогнозируемый функциональный и эстетический результат лечения.
4.9
Хазов Андрей Владимирович
Опыт работы: 23 года
Стоматолог-хирург, челюстно-лицевой хирург, имплантолог
Записаться
«Главная задача хирурга — не только идеально выполнить операцию, но и вернуть пациенту уверенность и спокойствие.»

Андрей Владимирович Хазов — челюстно-лицевой хирург, имплантолог с глубоким клиническим мышлением и большим опытом работы со сложными случаями. Поэтому он видит ситуацию шире, чем просто установку имплантата, рассматривая функциональность челюстно-лицевой области в целом.

Его пациенты отмечают профессионализм, лаконичность в общении, точность движений и умение вселить уверенность в 100% положительном результате даже в случае крайне сложных вмешательств.

4.9
Марюков Илья Леонидович
Опыт работы: 8 лет
Анестезиолог-реаниматолог
Записаться
«Моя задача — чтобы юному пациенту во время операции было безопасно, а родители могли довериться и быть уверенными в результате.»

Я всегда говорю родителям: во время лечения ребёнок спокойно спит, ему не больно и не страшно, а я рядом и контролирую каждый вдох, каждый удар сердца.

  • Илья Леонидович сопровождает детский наркозный приём уже более 9 лет, так что родители могут полностью довериться его знаниям, опыту и уже даже — шестому чувству.
  • Вся наша команда заранее готовится к любого рода возможным осложнениям или непредвиденным ситуациям. Так спокойнее и нам, и нашим пациентам!
4.9
Семенова Екатерина Андреевна
Опыт работы: 14 лет
Анестезиолог-реаниматолог
Записаться
«Я всегда стараюсь простыми словами объяснить родителям, что именно будет происходить на каждом этапе наркоза. Когда человек понимает, что с его ребёнком делают и зачем — тревога уходит.»
  • Екатерина Андреевна работает с пациентами различных возрастов уже с 14 лет — так что от её опытного взгляда не ускользнёт ни одна мелочь.
  • Общение с родителями до и после лечения в наркозе для неё — обычная практика, ведь лучше быть уверенным на все 100%, что всё идёт как надо!
4.9
Шиловская Елена Владимировна
Опыт работы: 11 лет
Анестезиолог-реаниматолог
Записаться
«Главные факторы максимально эффективной и при этом щадящей анестезии даже при наркозе — это внимательность врача к состоянию здоровья пациента и его деликатность!»

Елена Владимировна всегда рядом с нашими взрослыми «наркозными» пациентами — от консультации, до погружения в наркоз и контроля состояния пациента в процессе.

Часто задаваемые вопросы

Всем ли пациентам с неправильным прикусом нужна операция?

Нет. Хирургический этап требуется только при выраженных скелетных аномалиях, когда ортодонтия без операции не даст стабильного результата.

Насколько это безопасно?

Операции проводятся опытными челюстно-лицевыми хирургами с соблюдением всех медицинских протоколов, присутствием бригады анестезиологов -реаниматологов и тщательной подготовкой пациента.

Больно ли это?

Хирургический этап проходит под наркозом. После операции назначается адекватное обезболивание и контроль состояния.

Сколько длится всё лечение?

Сроки индивидуальны и зависят от сложности случая. Самое длительное комбинированное лечение прикуса с операцией в среднем — от 1,5 до 3 лет с учётом ортодонтических этапов.

Можно ли пройти лечение, если я взрослый?

Да. Возраст не является ограничением, если нет медицинских противопоказаний.

Кто принимает решение о необходимости ортогнатической операции?

Решение принимается совместно ортодонтом и челюстно-лицевым хирургом после полной диагностики.

Будет ли результат стабильным?

Да, при соблюдении рекомендаций и полном прохождении всех этапов лечения результат рассчитан на пожизненную перспективу.

Звоните в клинику в Вологде
+7 (921) 716-03-06
{Пн–Пт 9:00 - 20:00} {Сб 9:00 - 18:00}
{Вс 9:00 - 18:00 Колл-центр}
Задать вопрос и записаться на приём можно через удобный мессенжер. Пишите нам:
Позвоните или напишите нам прямо сейчас
+7 (921) 716-03-06
{Пн–Пт 9:00 - 20:00} {Сб 9:00 - 18:00}
{Вс 9:00 - 18:00 Колл-центр}
Мы специализируемся на комплексном лечение сложных случаев — когда важен результат, а не компромиссы.
Если вам необходимо проведение операции в челюстно-лицевой области или рекомендовано хирургическое лечение прикуса, но вы сомневаетесь — начните с консультации.

Да Винчи – клиника, которой доверяют

14+ лет
14+ лет
Средний стаж специалистов нашей клиники
Работаем с 2015 года
Работаем с 2015 года
Более 3000 довольных маленьких пациентов
Дружелюбная атмосфера
Дружелюбная атмосфера
Дети и родители чувствуют себя как дома
Гибкий график приёма
Гибкий график приёма
Подстроимся под ваш удобный день и время
Нет скрытых платежей
Нет скрытых платежей
Озвучиваем стоимость сразу после консультации
Современная техника
Современная техника
Лечим быстро, бережно и комфортно
Удобная парковка
Удобная парковка
Рядом с клиникой
Записаться на консультацию
Выберите город
Выберите клинику
Назад
Выберите клинику
Назад
Ваша запись подтверждена
Спасибо за Ваше сообщение. Оно успешно отправлено.